Skip to content
    • Biology Biology
    • 16+
    • 14-16
    • 55

Cell biology

  of  10

Cell specialisation

 

The stem cells of an early embryo are all very similar and all have the potential to become any other cell in the body – they are pluripotent. But by the time a baby is born, many of the cells have differentiated and become specialised for particular functions in the body. Examples include muscle cells that contract in response to a stimulus, neurones that carry electrical impulses around the body, and secretory cells that produce substances such as mucus, acid, enzymes or hormones for the body to use.

Drosophila Melanogaster Fruit Fly

Different cells are adapted for different functions in an organism, such as the sensory cells (green) highlighted in this confocal micrograph of a Drosophila melanogaster fruit fly (Chun Han, CC BY-NC-ND 3.0)

Microvilli (1)

 

Specialised features

It is very useful to consider some of the major adaptations for different functions seen in cells. Looking at differences in the ultrastructure of a cell can give you a clear insight into the functions of that cell in the body.

 

Example 1: Transport

There are many situations where it is important to move substances into or out of cells. For example the products of digestion moving into the cells of the ileum, the hormones produced by glandular cells moving into the bloodstream or the Na+, K+ or Cl- ions involved in the electrochemical events of an action potential moving into or out of a neurone.

Cells may be adapted to allow rapid transport across their internal or external membranes in a number of ways:

  • by an increase in the surface area of the internal membranes (such as many stacks of Golgi apparatus), or of the cell surface membrane (such as the presence of microvilli).
  • by an increase in the number of protein channels and carrier molecules in their membranes.
  • by mechanisms to set up concentration, water potential or electrochemical gradients across membranes.

 

Example 2: Energy requirements

Some cells require relatively little ATP to carry out their functions. Others need a lot of ATP for anabolic reactions or for functions such as the contraction of the muscles. As a general rule, cells that require a lot of ATP such as heart muscle and secretory cells contain many mitochondria, whilst cells that have low activity levels have few mitochondria.

 

Mitochondrion
Hedgehog

Many fat cells have few mitochondria, but special brown fat cells found in newborn babies and hibernating animals are full of mitochondria which undergo a special form of aerobic respiration designed to produce heat to keep the body warm (Image credits: mitochondria Keith Porter/ CC BY-NC-ND 3.0 hedgehog Jamain/ CC-BY-SA-3.0,2.5,2.0,1.0)

 

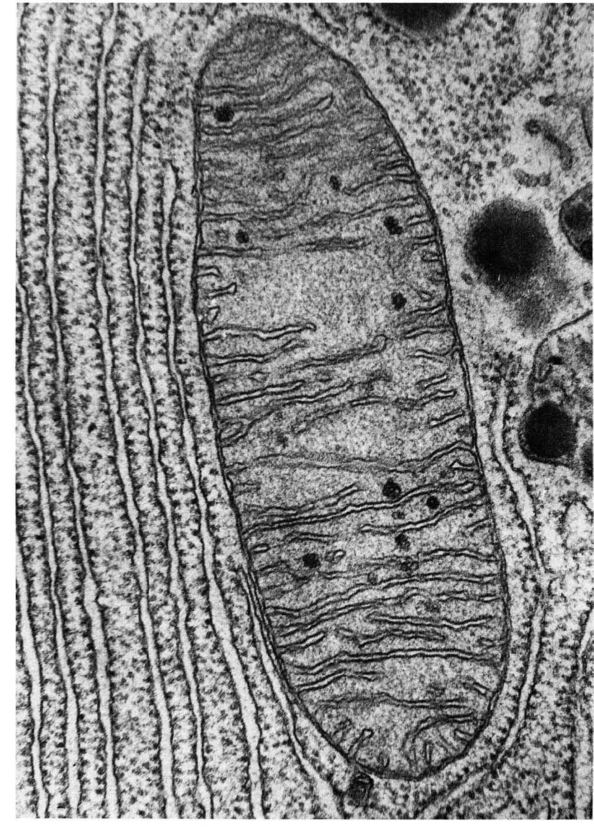
Example 3: Secretory functions

Cells that produce large amounts of proteins or other compounds such as steroid hormones, neurotransmitters, acid or mucus, usually have high levels of rough endoplasmic reticulum and Golgi apparatus in their cytoplasm. They may also have large numbers of vesicles containing secretions. These features are much less common in other types of cells.