Skip to content
    • Ico Chemistry Chemistry
    • Biology Biology
    • Ico Human Biology Human biology
    • Ico Citizenship Studies PSHE / Citizenship studies
    • 14-16
    • 25

Cell divison and cancer

  of  9

Diagnosing cancer

The body can develop many harmless lumps. They are generally not a sign of cancer but it is always best to get them checked by a doctor.

Lumps that are not cancers are called benign. They are harmless but may still be removed by surgery, if they are causing discomfort or there is a chance they could develop into a cancer.

Lumps that are cancers are called malignant. These need to be detected and treated as early as possible. Quick treatment gives the best chance of a successful treatment.

Leukaemia

Leukaemia is a cancer that can affect young children as well as adults. It is a cancer of the white blood cells. There are different types of leukaemia depending on which type of white blood cell is growing out of control.

Symptoms of leukaemia can include:

  • lethargy (lack of energy)
  • anaemia (low red blood cell levels)
  • fever
  • easily bruised
  • frequent nosebleeds
  • swelling in lymph nodes in the neck and armpits

Having just one of these symptoms does not mean that the person has leukaemia. Having several of them could point to leukaemia. Further tests are needed to definitely diagnose the condition.

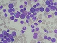
Blood test to diagnose leukaemia

Compare the results of blood tests in the chart below to see how a sample can be used to detect leukaemia. Blood cells are made in the bone marrow, so doctors may also analyse a sample of tissue (biopsy) taken using a needle into the bone marrow.

  Normal range Chronic Myelogenous Leukaemia (CML)
White blood cells per mm3 4 - 10,000 100,00+
Haemoglobin (grammes per litre) 12 - 18 less than 8
Platelets per mm3 150,000 - 450,000 100,000
Blood smear examined under a microscope:
  • white blood cells stained dark blue
  • red blood cells small and round

Treating Leukaemia

The medicines used to treat the different types of leukaemia may vary but treatments can include:

  • chemotherapy - medicines that destroy cancer cells
  • bone marrow or stem cell transplants - to replace the patient's bone marrow with healthy bone marrow
  • blood and platelet transfusions to replace red blood cells and platelets
  • antibiotics to fight infections as the patient's immune system is not working well

As with any cancer, the earlier the treatment is started, the better the chance of recovery. Two common childhood leukaemias are Acute Lymphoblastic Leukaemia (ALL) and Acute Myeloid Leukaemia (AML). Treatments for these cancers continue to improve and the graph shows the percentage of children alive five years after being diagnosed with leukaemia. These children are highly likely to be completely cured.

Survival