This topic takes on average 55 minutes to read.
There are a number of interactive features in this resource:
Enzymes are widely used in medicine, from the biotechnology used to make specific drugs to diagnostic tests and treatments.
Examples of common medical uses of enzymes include:
These relatively simple tests indicate the presence or absence of a range of different chemicals that in turn indicate infections, problems in the kidneys or other problems such as diabetes that can result in glucose in the urine.
Example: Glucose oxidase is the enzyme found on dip-sticks used for testing urine for glucose
The enzyme is mixed with peroxidase and a blue dye. If the urine contains no glucose then the dye stays blue. However, if there is glucose present, the enzyme breaks up the glucose and releases hydrogen peroxide. This in turn reacts with the other chemicals, turning the dye from blue to green to brown depending on the glucose levels.
Enzyme technology enables doctors to see that the only abnormality in the urine of this patient is the presence of glucose.
These tests are also widely used to detect antibodies to particular infections. ELISAs use monoclonal antibodies to respond to a specific antigen in the blood or urine. Enzymes are used to deliver a colour change if the test is positive.
ELISAs are also used in testing for allergens at very low concentrations, and for the diagnosis of a range of infectious diseases including HIV/AIDS, West Nile virus and Newcastle Disease. They are also used for diagnosing a range of plant diseases and diseases in wild and domestic animals.
Example: ELISA used in pregnancy testing
As a human embryo begins to implant in the uterus and develop it produces a chemical called Human Chorionic Gonadotrophin (hCG). Some of this hormone is found in the blood and the urine of the mother. Modern pregnancy tests rely on monoclonal antibodies to test for hGC in the urine. Some pregnancy tests are so sensitive that pregnancy can be detected within hours of implantation. Often a pregnancy test is carried out first thing in the morning, when the levels of hGC are highest. A pregnancy test contains mobile monoclonal antibodies for hGC that have enzymes attached to them. They will only bind to hCG. If the woman is pregnant the hCG in her urine binds to the mobile monoclonal antibodies and forms an hCG/antibody complex (complete with enzymes). These complexes bind to immobilised antibodies arranged in a line or a pattern such as a positive (+) sign when the enzymes catalyse a reaction to produce a coloured mark. If the woman is pregnant, a coloured line or pattern appears in the first window.
The urine then continues up through the test to a second window. Here there is usually a line of immobilised monoclonal antibodies that bind only to the mobile antibodies, regardless of whether they are bound to hCG or not. Again when the mobile antibodies bind it triggers an enzyme reaction that results in a coloured line. This coloured line forms regardless of whether the woman is pregnant – it simply indicates that the test is working.
If the woman is pregnant, two coloured patterns appear. If she is not pregnant, only one appears.

Using enzymes to help diagnose pregnancy – it is the action of enzymes that causes the formation of the coloured lines that indicate pregnancy

A positive pregnancy test (Klaus Hoffmeier, public domain)
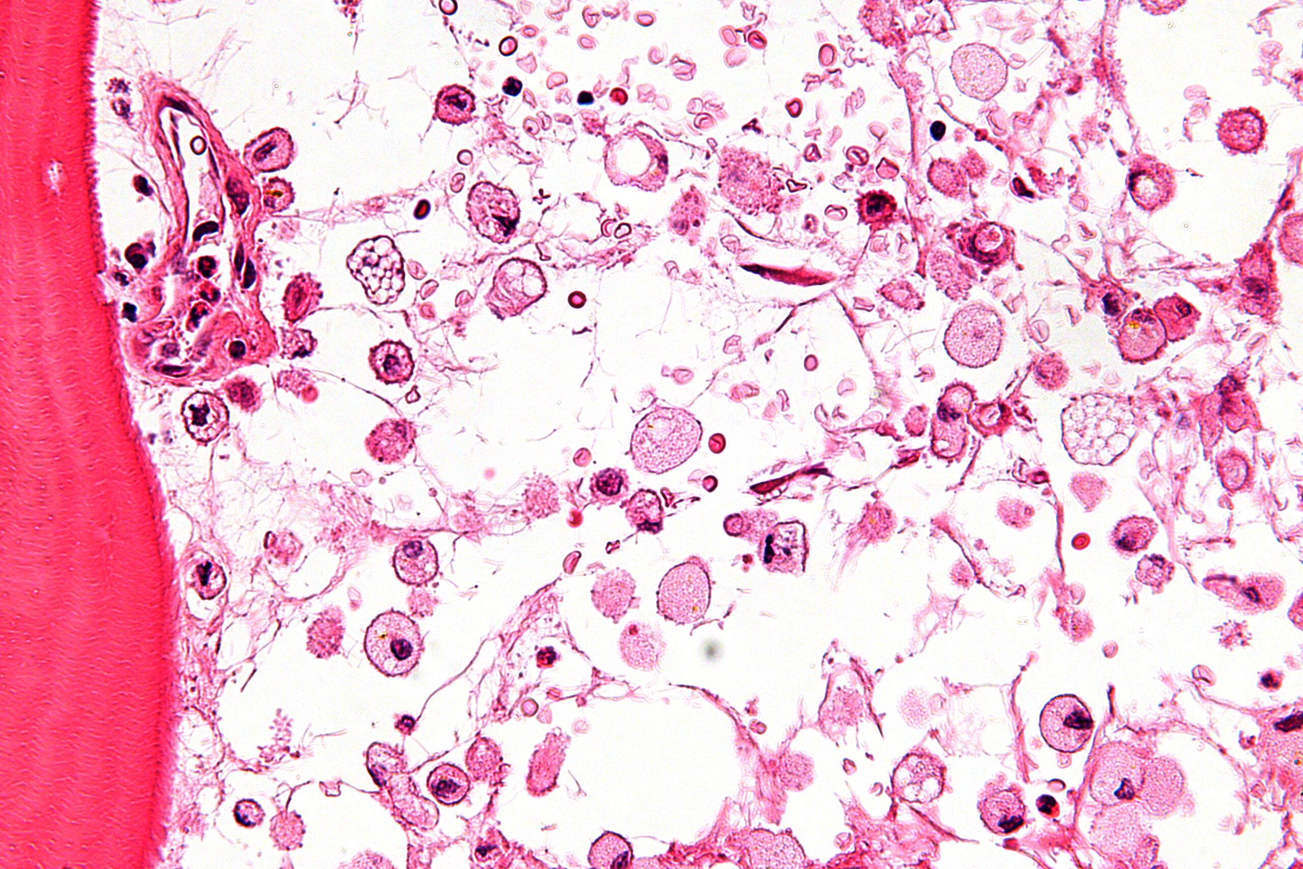
Macrophages in bone marrow affected by Gaucher’s disease (Nepron, CC BY-SA 3.0)
In some disease, the body cannot make specific enzymes. The lack of these enzymes can cause severe symptoms of disease and even in some cases death. For example, Gaucher’s disease is a genetic disease where the body does not make the enzyme glucocerebrosidase. This enzyme breaks down glucosyceramide, a component of the cell membrane in the removal of cells that are worn out or damaged in some way. As a result there is a build-up of glucosyceramide in organs including the spleen, liver, lungs, brain and bone marrow. It causes an enlarged liver and spleen and many metabolic problems. Children who inherit the most severe form of the disease often do not live beyond the age of two.
The most common form of Gaucher’s disease affects about one in every 40,000 live births in the US. In recent years new drugs such as velaglucerase alfa have been developed. They are produced using recombinant DNA technology (genetic engineering) of bacteria. The drugs are expensive and an affected person has to take the drug for life, but it effectively replaces the missing enzyme and allows them to live a normal life.
Some medicines are delivered to the body in an inactive form. They only become active when they are acted on by enzymes in the body. This happens in much the same way as trypsin is produced as trypsinogen in the body, and fibrinogen is the precursor of fibrin in the blood clotting cascade. Some prodrugs are activated by the enzymes of the digestive system. Others are only activated when they are actually inside the body cells.
Lisdexamfetamine is a drug that can be used to help children who are affected by ADHD – attention deficit hyperactivity disorder. It has an effect on the areas of the brain associated with self-control and attention so they function better. Lisdexamfetamine is a prodrug – it is inactive. In the body it is converted to dextroamphetamine by enzymes that remove a lysine (amino acid) group. The active drug acts on neurotransmitters including serotonin, dopamine and noradrenaline in the synapses of the brain (see Cell biology). This drug is closely linked to the illegal recreational drugs known as amphetamines.
Chemical structure of lisdexamfetamine (JaGa, CC BY-SA 3.0)