Skip to content
    • Biology Biology
    • 14-16
    • 55

Infectious diseases - pathogens

  of  10

Fungi

Fungi are called microorganisms but some can easily be seen with the naked eye. Mushrooms, toadstools and bread mould are all types of fungi. Individual fungus cells have a nucleus, cell wall and structures like mitochondria can be seen in their cytoplasm. They can join together to form long tubes, called hyphae, that grow as a network of fibres in the material the fungus is feeding on. Mushrooms and toadstools are specialised structures involved in reproduction and the formation of fungal spores that can spread for many miles on the wind.

Fungi play a vital role in decomposing dead material and recycling the nutrients to make them available for the growth of other plants. Brewers' and bakers' yeast are types of fungi that grow as individual cells. They have been used for many centuries in the production of beer, wine and bread.

The fungus Penicillium notatum helps to save lives by producing the antibiotic penicillin.

Pathogenic fungi tend to be ones that cause infections to the surface of the body. Their fibres grow in the upper layer of the skin which causes inflammation and damage. This can also provide a route into the body for other opportunistic infections. Diseases such as athlete's foot, ringworm, oral and vaginal thrush are examples of fungal infections.

Fungi can cause infections inside the body such as in the lungs, brain and heart which can be very serious and even fatal.

 

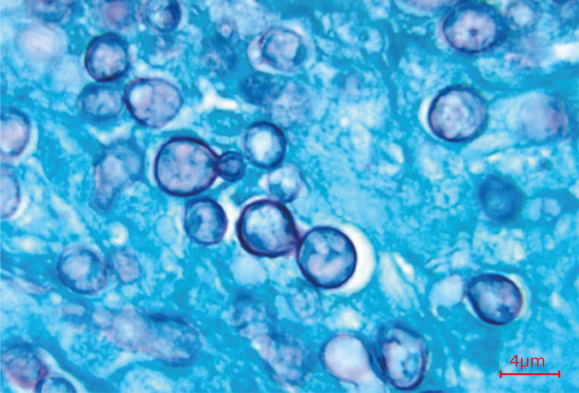
Yeast Cells Scale
Yeast Diagram Scale

The structure of yeast

Yeast is a type of single celled fungus which we use to make bread and beer. Yeasts can also cause disease. Yeast cells are smaller than plant and animal cells. They are around 0.01mm in diameter. They reproduce asexually by budding. There are different types of yeast but their cells all have some components in common:

  • Nucleus
    contains the genetic material which controls the cell activities and reproduction
  • Cytoplasm
    liquid gel in which many of the chemical reactions of the cell take place
  • Cell wall
    maintains the shape of the cell
  • Bud
    new yeast cell forming by asexual reproduction

In the disease resource, you can find out more about athlete's foot, a common fungal disease.