Skip to content
    • Biology Biology
    • 14-16
    • 55

Skin structure and function

  of  5

Skin Problems

Skin problems can be a result of accidents or something causing an infection in the skin.

Skin Injuries

Skin can be damaged in lots of different ways. Sometimes the damage can break the skin which can let infection get into the body. Some of the ways in which skin can be damaged:

  • Cuts and scrapes
  • Insect bites
  • Dirty needles can push bacteria deep inside the body
  • Blisters
  • Bruises
  • Burns

We are lucky that skin can repair itself and, usually after a few days, a slight injury will be completely mended, but it is important to keep a wound clean so that there is less risk of infection.

Skin Injuries 1

Skin Infections

The skin is a barrier which stops infection from entering the body. However, the skin itself can become infected by bacteria, viruses, fungi or tiny parasites.

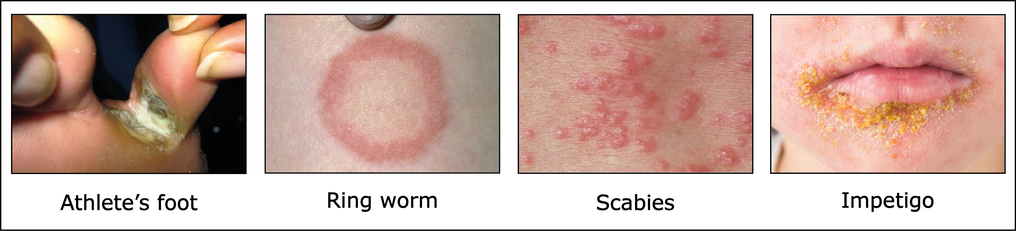
Cause & examples of skin infections
Cause of infection Some examples
Bacteria boils, impetigo
Fungi ringworm, athlete's foot
Viruses cold sore, wart, verucca
Parasite scabies
Skin Conditions

Eczema

In eczema the skin is usually red, dry, sore and itchy. Anyone can get eczema and it can appear for no known reason or as an allergic reaction to something. It can be treated with special creams and sometimes disappears as suddenly as it came.

Acne

Acne is a rash, usually just on the face, and tends to occur in adolescence. It is caused by blockage and infection of the sebaceous glands in the skin. A doctor will recommend keeping the skin clean and may prescribe special creams or antibiotics.

Skin Infections 2
Skin Infections 3

Skin Cancer

There are many different types of skin cancer, most of which are caused by prolonged exposure to the ultraviolet (UV) rays in sunlight. About 1500 people die each year in England and Wales of one type, malignant , but many other types of skin cancer are fully curable if they are diagnosed early enough.

On hot sunny days, as well as UV rays, there will be infrared (IR) rays from the sun. These are responsible for the sun feeling hot on the skin but it is the UV rays from the sun that cause sunburn. Like any burn, sunburn damages the skin and takes time to heal. The damage can be at the surface and the deeper layers of the skin and, over a longer period of time, this can make the skin appear wrinkled and old.

To protect your skin, you are advised to cover up in the sun with a wide-brimmed hat and sunglasses with UV protection. Areas that cannot be covered, the face, for example, should be protected with a sunscreen protection factor (SPF) of at least 15.

It is safest of all to avoid being out in the hottest part of the day, from about noon to 3 p.m. and, remember, you can still burn when swimming.

Skin Cancer

Question 1.